ちかま歯科クリニック|札幌大通歯医者 札幌市中央区大通西5丁目2-2 TANI BLD.4F    
011-200-1188    
お問い合わせアクセスサイトマップ    
札幌市中央区の歯科医院 札幌市中央区の歯科医院 歯科医師紹介 大通の歯医者 歯医者|札幌 お問い合わせ、ご予約について
アクセス|ちかま歯科クリニック
お問い合わせ

歯周病[札幌市中央区大通|歯医者]




ちかま歯科

【ちかま歯科クリニック】
060-0042
札幌市中央区大通西5丁目2−2
 TANI BLD.4F(タニビル)

Tel:011-200-1188

メール:お問い合わせはコチラ

携帯電話からご覧になる方は、
下記のQRコードをご利用ください。
ちかま歯科クリニック|札幌大通歯医者

審美歯科|札幌

審美歯科|札幌

審美歯科(種類とその考え方)


クラウン ブリッジ

ちかま歯科クリニックでは保険外の材料もお取り扱いしております。
保険治療では銀色になるところが白く出来たり、
審美歯科|クラウン 変色しない、より自然な光沢と質感が得られるという
審美性がまず挙げられます。
また、最近よく言われるメタルフリー
(お口のなかにもともと存在しない金属を入れない)
の観点から、金属アレルギーの要因を減少します。
さらに全く金属を使用しないセラミック、
ジルコニアなどは歯質と「嵌合(かんごう)」
させることで強固な接着が得られ、
プラーク(歯垢)もつきにくくなることから
歯周病予防という点でも優れています。

各々の材料に特質がありますので、よくご説明の上、ご納得いただいて
治療を受けることをお勧め致します。
強度が落ちない範囲でのご予算のご相談も伺います。
また材質の特性や強度、設計によっては、お勧めしないものもあります。
咬み合わせや当たり方がきつい場合、
壊れにくく、動揺しない義歯制作のため、
義歯の支台(バネがかかる歯)になる場合などは、
歯の裏やレストとよばれるバネのかかる部分のみ、
金属色を露出させていただくこともあります。
咬み合わせの位置が正しくないと、
何度セラミックを入れても壊れてしまうという現象も起こります。
咬合治療(咬み合わせの治療)を含めて、
審美性はもちろんのこと、如何に壊れにくく、
長く機能させられるかということを第一に治療をすすめて参ります。

また、全ての治療が終わりましたら、その状態を長く継続出来るよう
定期検診も行っております。


保険外義歯

歯を失ったまま放置するのは最も危険です。
他の健康な歯を失うばかりか、咬み合わせが狂ってしまい、
お顔が曲がる、口元がつぶれたようになる、口角が下がり、
ほうれい線が目立ってきて老けた印象を与えるなど
顔貌(がんぼう)にも大きな影響を与えます。

保険外義歯は、保険の義歯では不可能な強度を金属で補ったり、
技工面で精密な細工を施します。それにより、よりバネが目立ちにくく、
かっちりと収まり動きにくいことで、快適に咬むと同時に
お顔の審美的な回復も可能です。
歯の形を選び、口唇やスマイルラインを意識した歯並びにすることで、
笑顔に自信が持てるような治療を目指します。

不適切な義歯は、よく動いてしまい、
その下にある顎の骨の異常吸収という
取り返しのつかない症状を起こします。
義歯作成においても、正しい顎の位置の確保、また部分床義歯であれば、
どこにバネをかけるかなどの設計が一番大切なのです。
100%どこにも負担のかからない義歯は存在しません。
失った歯の負担を如何に分散し、
残った歯を長持ちさせるかが重要となります。


クラウン(全部被覆冠)
セラミックレイヤリング ジルコニア クラウン
審美歯科|ジルコニア ジルコニア(単体)クラウン
オールセラミック
メタルボンド
ハイブリッドセラミッククラウン
ゴールドクラウン

※当院では、メタルボンドなど見えない部分に使う金属は人体の健康に配慮した品質の高いものを採用しています。ご安心ください。
オールセラミック        前歯 臼歯 138,600円
メタルボンド         176,000円〜(見積りあり)
ハイブリッドクラウン      88,000円〜(見積りあり)
セラミックレイヤリング ジルコニアクラウン 143,000円
ジルコニア単体クラウン            64,900円
ジルコニア単体グラデーション クラウン    88,000円

インレー(部分)
審美歯科|インレー インレー
セラミックインレー
ハイブリットインレー
ゴールドインレー
ゴールドインレー       時価
プレスセラミックインレー 51,700円
ジルコニアインレー    51,700円

その他
審美歯科|ラミネートべニア ラミネートべニア
グラディアダイレクト(保険外CR充填物)
ラミネートべニア  138,600円

義歯
全部床義歯(総入れ歯)

部分床義歯
ミリング、インターロック、咬合面レストなど設計によりお見積り

コーヌスデンチャー
お見積り
(税込み)

患者さまの症例

 ※公開している症例は、全て患者さまの了承を得て掲載しています

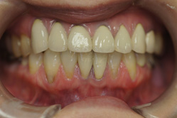
クラウン・ブリッジの症例

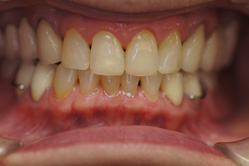
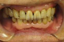
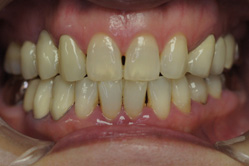
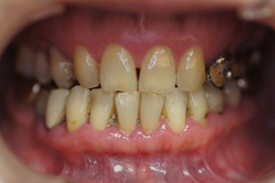
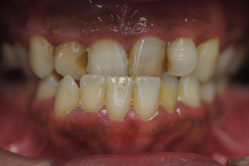
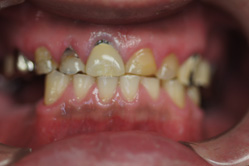
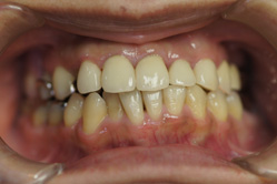
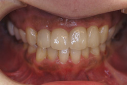
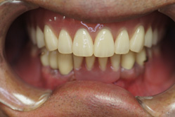
咬合治療+セラミックレイヤリング ジルコニアクラウン
審美歯科|症例8_befor


  審美歯科|症例8
審美歯科|症例8__after
※矯正はしておりません。顎の正しい位置を探り、後ろから治してきています

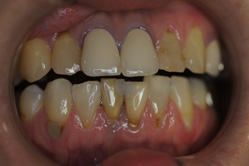
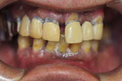
咬合治療+セラミックレイヤリング ジルコニアクラウン
審美歯科|症例9_befor


  審美歯科|症例9
審美歯科|症例9__after
※矯正はしておりません。顎の正しい位置を探り、後ろから治してきています

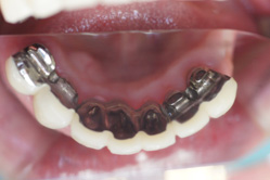
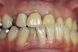
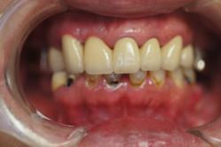
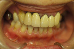
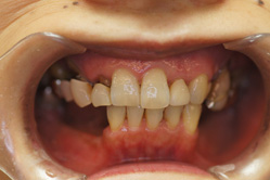
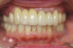
上下顎ホワイトニング + メタルボンド + 下顎部分床義歯
審美歯科|症例10_befor


  審美歯科|症例10
審美歯科|症例10__after
審美歯科|症例10_after2

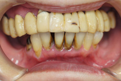
咬合治療 + 上顎前歯グラディアダイレクト 上下顎メタルボンド 下顎部分床義歯
審美歯科|症例11_befor


  審美歯科|症例11
審美歯科|症例11__after

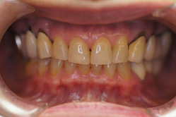
咬合治療 上下顎セラミックレイヤリング ジルコニアクラウン + 単体ジルコニアクラウン
審美歯科|症例12_befor


  審美歯科|症例12
審美歯科|症例12__after

下顎MTM(小さな矯正) + 上下顎ハイブリッドクラウン
審美歯科|症例13_befor


  審美歯科|症例13
審美歯科|症例13__after

咬合治療 + 上下顎ホワイトニング + ハイブリッドクラウン + グラディアダイレクト
審美歯科|症例14_befor


  審美歯科|症例14
審美歯科|症例14__after

咬合治療 + 歯周外科 + 部分床義歯
審美歯科|症例15_befor


  審美歯科|症例15
審美歯科|症例15__after


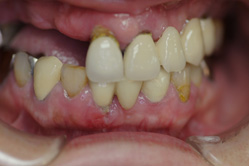
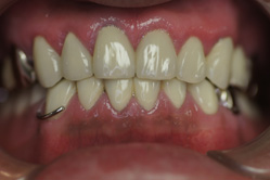
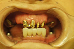
保険外義歯の症例


上顎チタン床義歯 下顎メタルボンド + 部分床義歯
審美歯科|症例1_befor


  審美歯科|症例1
審美歯科|症例1_after
審美歯科|症例1_after2

上顎チタン床義歯 下顎ハイブリッドクラウン + ミリングインターロック義歯
審美歯科|症例2_befor


  審美歯科|症例2
審美歯科|症例2__after

上顎チタン床義歯 下顎MTM +メタルボンド + 部分床義歯
審美歯科|症例3_befor


  審美歯科|症例3
審美歯科|症例3__after
審美歯科|症例3_after2
※MTM: 小矯正

咬合治療 + 下顎メタルボンド ミリングインターロック義歯
審美歯科|症例4_befor


  審美歯科|症例4
審美歯科|症例4__after

審美歯科|症例4__after2

下顎メタルボンド + BAI義歯
審美歯科|症例5_befor


  審美歯科|症例5
審美歯科|症例5__after

下顎メタルボンド + アタッチメントデンチャー
審美歯科|症例6_befor


  審美歯科|症例6
審美歯科|症例6__after

咬合治療 + 上顎コーヌスクローネ 下顎ミリング インターロック義歯
審美歯科|症例7_befor


  審美歯科|症例7
審美歯科|症例7__after
審美歯科|症例7_after2


様々な技工症例より

コーヌスクローネ
審美歯科|症例20  審美歯科|症例21

審美歯科|症例22

BAI
審美歯科|症例5_befor 審美歯科|症例5__after

ミリング、インターロック加工
審美歯科|症例16  審美歯科|症例17

審美歯科|症例18

咬合面レスト + インターロック
審美歯科|症例16  審美歯科|症例17

アタッチメント
審美歯科|症例18 審美歯科|症例19

メタルティース
審美歯科|症例21
人工歯の摩耗を防ぐための処置
バネがかかる歯(支台歯)は丈夫でなくてはなりません。
場合により仮義歯を用いて顎の位置を誘導することもございます。
また何よりお手入れと定期検診が必要となります。

口腔内の健全な維持と、見た目の美しさを追求した
健康的な審美歯科治療を ちかま歯科クリニックは目指します。
審美歯科のご相談はお問い合わせください。

ホーム | 審美歯科

ホーム |治療方針・理念 |医師紹介 |医院案内 |診療案内 |ご予約・お問い合わせ |アクセス・交通案内
[札幌歯医者]ちかま歯科クリニック © 2011-  個人情報について  リンク  サイトマップ